ホワイトニングから総合的な治療まで
さまざまな治療例をご紹介します。
症例写真はすべて当院で行った症例です。
価格は税別です。
- 審美歯科
- インプラント
- 総合治療
- 入れ歯治療
審美歯科
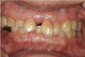
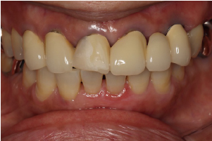
症例
オールセラミック+ホワイトニング
治療前
治療後
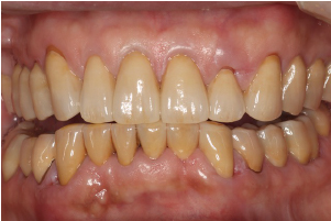
主訴は右上の保険で作られたかぶせの色の変色が気になるとのことでした。全体的に歯を美しくしたいと希望された為、ホワイトニングから始め、前歯4本をオールセラミック(e-max)で修復しました。印象が大きく変化しました。
技工担当
脇田太裕氏 D.デンタルセラミスト
治療期間・回数
3ヵ月・8回
治療費用
¥613,000
治療に伴うリスク
過度な力が加わった時にセラミックが破折することがあります。
2次的に虫歯になる可能性がありますので、定期的なメインテナンスは必要です。
治療期間中、歯がしみることがあります。
色戻りすることがあります。(定期的なメインテナンスで維持できます)
ホワイトニングの対象となるのは天然歯のみで、人工の歯には効果がありません。
症例
ジルコニアオールセラミック
治療前
治療後
治療前のレントゲン
治療後のレントゲン
主訴は上の前歯の根元に違和感があるとのことでした。レントゲンを撮影したところ左上の2番目の歯の根元に大きな膿の袋が出来ており、保存不可能と診断、抜歯してジルコニアブリッジで治療することになりました。以前治療されていたセラミック冠の見た目も気になるとのとでした。問題のある根管治療はすべてやり直し、ファイバーコアを入れてから上下6歯をジルコニアオールセラミックで治療しました。ハグキの色も健康的になりました。
技工担当
脇田太裕氏 D.デンタルセラミスト
治療期間・回数
5ヶ月・25回
治療費用
¥880,000
治療に伴うリスク
過度な力が加わった時にセラミックが破折することがあります。
2次的に虫歯になる可能性がありますので、定期的なメインテナンスは必要です。
症例
オールセラミック(e-max)
治療前
治療後
治療前のレントゲン
治療後のレントゲン
歯肉退縮により、以前他院で製作されたセラミック冠の審美障害があります。また時々、根元が腫れていたとのこと。前歯4本すべて根管治療を行い、ファイバーコアを入れてからオールセラミック(e-max)で修復しました。術後のレントゲンでは根尖性歯周炎が改善しています。
技工担当
脇田太裕氏 D.デンタルセラミスト
治療期間・回数
5ヵ月・20回
治療費用
¥600,000
治療に伴うリスク
過度な力が加わった時にセラミックが破折することがあります。
2次的に虫歯になる可能性がありますので、定期的なメインテナンスは必要です。
症例
ラミネートベニア・オールセラミック(e-max)
治療前
治療後
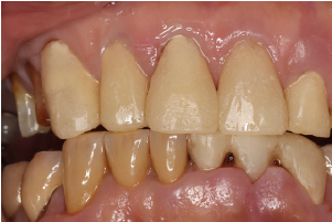
広範囲にレジン充填されていますが、審美障害が目立ちます。
前歯4本をラミネートベニア、左右の犬歯はオールセラミックで修復しました。
技工担当
脇田太裕氏 D.デンタルセラミスト
治療期間・回数
3ヵ月・8回
治療費用
¥840,000
治療に伴うリスク
過度な力が加わった時にセラミックが破折することがあります。
2次的に虫歯になる可能性がありますので、定期的なメインテナンスは必要です。
症例
ジルコニアオールセラミック・セラミック矯正
治療前
治療後
主訴は前歯の真ん中のすき間が気になるとのことでした。前歯4本のバランスを整えて修復しました。時間の経過とともに歯が動く可能性のある為、左右2本ずつジルコニアオールセラミックで連結しています。
技工担当
脇田太裕氏 D.デンタルセラミスト
治療期間・回数
3ヵ月・10回
治療費用
¥580,000
治療に伴うリスク
過度な力が加わった時にセラミックが破折することがあります。
2次的に虫歯になる可能性がありますので、定期的なメインテナンスは必要です。
症例
ジルコニアブリッジ・セラミック矯正
治療前
治療後
左上1番は歯周病が進行し動揺がありました。また左上1番と2番の間には大きなスペースがありました。まず、歯周治療から始め、最終的には右上1番から左上2番まで3本ジルコニアオールセラミックで連結し、審美性、機能性を回復しました。
技工担当
脇田太裕氏 D.デンタルセラミスト
治療期間・回数
5ヵ月・15回
治療費用
¥430,000
治療に伴うリスク
過度な力が加わった時にセラミックが破折することがあります。
2次的に虫歯になる可能性があり、歯周病の再発を防ぐため、定期的なメインテナンスが必要です。
症例
オールセラミックインレー(e-max)
治療前
治療後
金属のつめ物をポーセレンインレーに入れ替えました。境い目が分からないくらい自然な仕上がりです。
技工担当
脇田太裕氏 D.デンタルセラミスト
治療期間・回数
1ヵ月・3回
治療費用
¥60,000
治療に伴うリスク
過度な力が加わった時にセラミックが破折することがあります。
2次的に虫歯になる可能性がありますので、定期的なメインテナンスは必要です。
症例
メリーランドブリッジ
治療前
治療後
歯周病により下の前歯を抜歯しました。左隣りの表面を薄く削り、セラミックブリッジを接着しました。右隣りの犬歯とは重なって見えますが、自然に見える仕上がりです。
技工担当
脇田太裕氏 D.デンタルセラミスト
治療期間・回数
2ヶ月・3回
治療費用
¥170,000
治療に伴うリスク
従来型のブリッジと比べ外れやすいですが、再装着は容易です。
かみ合わせの力が強い部位には適用できません。
症例
メリーランドブリッジ
治療前
治療後
下の前歯が1本欠損している状態です。通常のブリッジでは欠損している両横の歯を削ります。このケースでは犬歯が傾いていますので歯を削る量が通常より多くなってしまいます。今回は欠損している右隣の裏側を薄く削ってセラミックブリッジ接着しました。
技工担当
脇田太裕氏 D.デンタルセラミスト
治療期間・回数
1ヶ月・3回
治療費用
¥170,000
治療に伴うリスク
従来型のブリッジと比べ外れやすいですが、再装着は容易です。
かみ合わせの力が強い部位には適用できません。
症例
オールセラミック(e-max)
治療前
治療後
治療前は保険で治療されたレジン前装冠です。根元が暗く見えます。オールセラミックで再修復しました。
技工担当
脇田太裕氏 D.デンタルセラミスト
治療期間・回数
2ヵ月・5回
治療費用
¥140,000
治療に伴うリスク
過度な力が加わった時にセラミックが破折することがあります。
2次的に虫歯になる可能性がありますので、定期的なメインテナンスは必要です。
症例
ホワイトニング
治療前
治療後
ホームホワイトニングを行いました。
治療期間・回数
2ヵ月・3〜4回
治療費用
¥33,000
治療に伴うリスク
治療期間中、歯がしみることがあります。
色戻りすることがあります。(定期的なメインテナンスで維持できます)
ホワイトニングの対象となるのは天然歯のみで、人工の歯には効果がありません。
症例
ホワイトニング
治療前
治療後
ホームホワイトニングを行いました。
治療期間・回数
2ヵ月・3〜4回
治療費用
¥33,000
治療に伴うリスク
治療期間中、歯がしみることがあります。
色戻りすることがあります。(定期的なメインテナンスで維持できます)
ホワイトニングの対象となるのは天然歯のみで、人工の歯には効果がありません。
症例
オールセラミック
治療前
治療後
前歯のプラスチックのつめ物が二次的虫歯になっており、審美障害が目立ちます。3本オールセラミックで修復し、審美性を改善させました。
技工担当
脇田太裕氏 D.デンタルセラミスト
治療期間・回数
2ヵ月・6回
治療費用
¥420,000
治療に伴うリスク
過度な力が加わった時にセラミックが破折することがあります。
2次的に虫歯になる可能性がありますので、定期的なメインテナンスは必要です。
症例
オールセラミックインレー
治療前
治療後
術前は保険で治療されたメタルインレーで、2次う蝕もあり暗く見えます。2本オールセラミックインレーで修復しました。
技工担当
脇田太裕氏 D.デンタルセラミスト
治療期間・回数
1ヵ月・3回
治療費用
¥120,000
治療に伴うリスク
過度な力が加わった時にセラミックが破折することがあります。
2次的に虫歯になる可能性がありますので、定期的なメインテナンスは必要です。
インプラント
症例
抜歯待時インプラント
治療前
治療後
右下の歯を抜歯後、骨の治癒を待ってからインプラント埋入手術を行いました。 上部構造はジルコニアオールセラミッククラウンです。
治療期間・回数
8ヶ月・10回
治療費用
¥450,000
治療に伴うリスク
インプラント治療は治癒期間が必要なため治療期間が長くかかります。
インプラント手術後は出血、疼痛、腫脹などが発生する場合があります。
感染によりインプラント周囲炎を起こす可能性があります。定期的なメインテナンスが必要です。
症例
2歯欠損(インプラント2本)
治療前
治療後
奥歯が2本欠損しているケースで、インプラントの埋入本数も2本です。
治療期間・回数
5ヵ月・10回
治療費用
¥900,000
治療に伴うリスク
インプラント治療は治癒期間が必要なため治療期間が長くかかります。
インプラント手術後は出血、疼痛、腫脹などが発生する場合があります。
感染によりインプラント周囲炎を起こす可能性があります。定期的なメインテナンスが必要です。
症例
4歯欠損(インプラント3本)
治療前
治療後
奥歯が4本欠損しているケースです。インプラントの埋入本数は3本です。
治療期間・回数
5ヵ月・10回
治療費用
¥1,500,000
治療に伴うリスク
インプラント治療は治癒期間が必要なため治療期間が長くかかります。
インプラント手術後は出血、疼痛、腫脹などが発生する場合があります。
感染によりインプラント周囲炎を起こす可能性があります。定期的なメインテナンスが必要です。
症例
永久歯先天性欠如
治療前
治療後
右上3番目の永久歯が先天的に欠損しており、乳歯が成人するまで残存していたのですが、抜歯しないといけない状況になりました。ブリッジで治療する場合、前後の歯を2本又は3本削らないといけないのですが、インプラント治療を選択されたので、前後の歯を削らずにすみました。
治療期間・回数
4ヵ月・8回
治療費用
¥450,000
治療に伴うリスク
インプラント治療は治癒期間が必要なため治療期間が長くかかります。
インプラント手術後は出血、疼痛、腫脹などが発生する場合があります。
感染によりインプラント周囲炎を起こす可能性があります。定期的なメインテナンスが必要です。
症例
抜歯即時インプラント
治療前
治療後
矢印で示している歯(左上の犬歯)が割れていて、保存不可能です。抜歯と同時にインプラントを埋入し、仮歯も同日に装着。最終のセラミック冠は手術後約4ヶ月後に装着しました。
治療期間・回数
4ヵ月・10回
治療費用
¥450,000
治療に伴うリスク
インプラント治療は治癒期間が必要なため治療期間が長くかかります。
インプラント手術後は出血、疼痛、腫脹などが発生する場合があります。
感染によりインプラント周囲炎を起こす可能性があります。定期的なメインテナンスが必要です。
症例
3歯欠損(インプラント3本)
治療前
治療後
奥歯が4本欠損しているケースです。
インプラントを3本埋入、上部構造も3本です。
治療期間・回数
5ヵ月・15回
治療費用
¥1,350,000
治療に伴うリスク
インプラント治療は治癒期間が必要なため治療期間が長くかかります。
インプラント手術後は出血、疼痛、腫脹などが発生する場合があります。
感染によりインプラント周囲炎を起こす可能性があります。定期的なメインテナンスが必要です。
症例
インプラントオーバーデンチャー
治療前
治療後
インプラントと磁石を組み合わせる事により、義歯がはずれにくくなり、義歯の大きさも小さくできるので違和感も少なくなります。
治療期間・回数
8ヵ月・20回
治療費用
¥1,900,000
治療に伴うリスク
インプラント治療は治癒期間が必要なため治療期間が長くかかります。
インプラント手術後は出血、疼痛、腫脹などが発生する場合があります。
感染によりインプラント周囲炎を起こす可能性があります。定期的なメインテナンスが必要です。
症例
1歯欠損(インプラント1本)
治療前
治療後
歯根破折により、前歯を1本喪失しました。ブリッジ治療と迷われましたが、インプラント治療を選択され、両隣在歯を削らず修復することができました。
治療期間・回数
8ヵ月・15回
治療費用
¥450,000
治療に伴うリスク
インプラント治療は治癒期間が必要なため治療期間が長くかかります。
インプラント手術後は出血、疼痛、腫脹などが発生する場合があります。
感染によりインプラント周囲炎を起こす可能性があります。定期的なメインテナンスが必要です。
総合治療
症例
インプラント・セラミック矯正
治療前
治療後
治療前のレントゲン
治療後のレントゲン
口腔内の金属をなくし、全体的に美しくしたいと希望されました。ホワイトニングから始め、すべての金属修復物をセラミックに置き換えました。上の前歯4本は形を整えてジルコニアオールセラミックで修復しています。右上5番は歯根破折していた為、抜歯してインプラント治療を行っています。
技工担当
脇田太裕氏 D.デンタルセラミスト
治療期間・回数
14ヶ月・55回
治療費用
¥1,840,000
治療に伴うリスク
過度な力が加わった時にセラミックが破折することがあります。
2次的に虫歯になる可能性がありますので、定期的なメインテナンスは必要です。
インプラント治療は治癒期間が必要なため治療期間が長くかかります。
インプラント手術後は出血、疼痛、腫脹などが発生する場合があります。
感染によりインプラント周囲炎を起こす可能性があります。
ホワイトニング期間中、歯がしみることがあります。
色戻りすることがあります。(定期的なメインテナンスで維持できます)
ホワイトニングの対象となるのは天然歯のみで、人工の歯には効果がありません。
症例
歯周治療・ジルコニアブリッジ・ノンクラスプデンチャー
治療前
治療後
治療前のレントゲン
治療後のレントゲン
主訴は前歯のプラスチック部分の欠けでしたが、全体的に歯が動揺しており、まずは歯周治療から始めました。連結する歯を増やし奥歯のかみ合わせを調え、歯の動揺が治まるのを確認してから上の前歯はジルコニアオールセラミックブリッジ、奥歯の欠損部分はノンクラスプ義歯を装着しました。歯ぐきの色も健康的になりました。
技工担当
脇田太裕氏 D.デンタルセラミスト
義歯技工担当
吉田和彦氏 アルファテック
治療期間・回数
7ヶ月・30回
治療費用
¥1,230,000
治療に伴うリスク
過度な力が加わった時にセラミックが破折することがあります。
2次的に虫歯になる可能性がありますので、定期的なメインテナンスは必要です。
経年劣化によりバネが折れることがあります。ハグキがやせて適合不良となることがあります。(修理により改善できます)
症例
全顎治療・咬合再構成
治療中(仮歯)
治療後
治療前のレントゲン
治療後のレントゲン
治療前の模型
治療後の模型
主訴は右上奥歯のブリッジの脱離でした。お口を拝見すると全体的に歯の咬耗が著く、ブリッジの脱離もかみ合わせの崩壊が原因と考えられます。一部を除き、すべての歯を仮歯にしてから全体のかみ合わせの高さを上げ、咬合を再構成しました。新たに作成した上下21歯の被せ物は強い咬合力に耐えられるようにすべてジルコニアオールセラミックで仕上げています。
技工担当
脇田太裕氏 D.デンタルセラミスト
治療期間・回数
10ヶ月・35回
治療費用
¥3,180,000
治療に伴うリスク
過度な力が加わった時にセラミックが破折することがあります。
2次的に虫歯になる可能性がありますので、定期的なメインテナンスは必要です。
症例
全顎治療・咬合再構成・金属床義歯
治療前
治療後
治療前のレントゲン
治療後のレントゲン
奥歯が欠損してから長期間放置していたため、残っている歯が著しく摩耗しており、かみ合わせが崩壊して新たに入れ歯を作ることも困難な状態でした。まず、関係する歯をすべて仮歯にしてから全体のかみ合わせの高さを上げ、咬合を再構成しました。上下前歯はジルコニアオールセラミックで仕上げました。奥歯は保険適用の金属冠、欠損している下の奥歯は金属床義歯を装着しました。
技工担当
脇田太裕氏 D.デンタルセラミスト
義歯技工担当
吉田和彦氏 アルファテック
治療期間・回数
13ヵ月・50回
治療費用
¥2,200,000
治療に伴うリスク
過度な力が加わった時にセラミックが破折することがあります。
2次的に虫歯になる可能性がありますので、定期的なメインテナンスは必要です。
症例
セラミックブリッジ・セラミック矯正
治療前
治療後
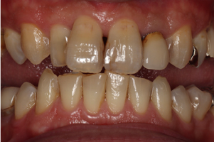
右上1番(矢印の歯)の歯根が吸収していて、抜歯しないといけない状態でした。2番目の歯も内側に転位していて、ブリッジの支台にするには難しい状態でした。
右上1番と2番を抜歯して、セラミックブリッジで修復しました。審美性も大きく回復しました。
技工担当
脇田太裕氏 D.デンタルセラミスト
治療期間・回数
4ヵ月・10回
治療費用
¥570,000
治療に伴うリスク
過度な力が加わった時にセラミックが破折することがあります。
2次的に虫歯になる可能性がありますので、定期的なメインテナンスは必要です。
症例
セラミック
治療前
治療後
術前、適合不良な被せ物や詰め物が数多くみられる状態でした。
適合良好なセラミック冠に置き換えたり、レジン充填を行う事により、美しく健康的な口元を取り戻しました。
技工担当
脇田太裕氏 D.デンタルセラミスト
治療期間・回数
10ヵ月・30回
治療費用
¥1,660,000
治療に伴うリスク
過度な力が加わった時にセラミックが破折することがあります。
2次的に虫歯になる可能性がありますので、定期的なメインテナンスは必要です。
症例
歯周外科+オールセラミック
治療前
治療後
矢印で示している歯の変色と前歯が全体的に短く見えるのが気になるとのことでした。前歯部の歯肉を下げる手術を行い、変色歯はオールセラミックで修復しました。
技工担当
脇田太裕氏 D.デンタルセラミスト
治療期間・回数
4ヵ月・8回
治療費用
¥140,000
治療に伴うリスク
過度な力が加わった時にセラミックが破折することがあります。
2次的に虫歯になる可能性がありますので、定期的なメインテナンスは必要です。
症例
セラミックブリッジ+インプラント
治療前
治療後
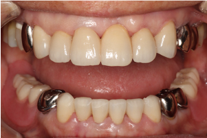
術前の欠損部には入れ歯が装着されており、虫歯も数多くみられます。上下顎ともセラミックブリッジ、下顎の奥歯にはインプラントを3本埋入し、咬合を再構成しました。
技工担当
脇田太裕氏 D.デンタルセラミスト
治療期間・回数
18ヵ月・50回
治療費用
¥3,600,000
治療に伴うリスク
過度な力が加わった時にセラミックが破折することがあります。
2次的に虫歯になる可能性がありますので、定期的なメインテナンスは必要です。
インプラント治療は治癒期間が必要なため治療期間が長くかかります。
インプラント手術後は出血、疼痛、腫脹などが発生する場合があります。
感染によりインプラント周囲炎を起こす可能性があります。定期的なメインテナンスが必要です。
入れ歯
症例
メタルプレート・ノンクラスプ義歯
治療前
治療後
治療前は保険診療で作製されたレジン義歯です。何度も破折し修理しながら使用されていました。 メタルプレート義歯は薄く丈夫な義歯です。大好きなカツサンドも安心して食べられると喜んでいただきました。
義歯技工担当
吉田和彦氏 アルファテック
治療期間・回数
5週間・4回
治療費用
¥300,000
治療に伴うリスク
精密な型取りや歯科技工が必要なため、製作に時間がかかります。
金属アレルギーを引き起こすことがあります。(リスクの低いチタンで製作できる場合があります。)
破損すると修理が難しいことがあります。
症例
ノンクラスプデンチャー
治療前
治療後
前歯部の入れ歯ですが、バネが目立ちません。
義歯技工担当
吉田和彦氏 アルファテック
治療期間・回数
1ヵ月・3回
治療費用
¥150,000
治療に伴うリスク
経年劣化によりバネが折れることがあります。
ハグキがやせて適合不良となることがあります。(修理により改善できます)
症例
ノンクラスプデンチャー
治療前
治療後
入れ歯の金属のバネが気になります。バネが目立たないノンクラスプデンチャーに変えました。
義歯技工担当
吉田和彦氏 アルファテック
治療期間・回数
1ヵ月・3回
治療費用
¥150,000
治療に伴うリスク
経年劣化によりバネが折れることがあります。
ハグキがやせて適合不良となることがあります。(修理により改善できます)
症例
ノンクラスプデンチャー・1歯デンチャー
治療前
治療後
左上の前歯はインプラント治療予定です。抜歯してから、最終の歯(上部構造)が装着されるまで1年近くかかる為、仮の歯として1歯だけのノンクラスプデンチャーを装着しました。
義歯技工担当
吉田和彦氏 アルファテック
治療期間・回数
2週間・2回
治療費用
¥100,000
治療に伴うリスク
経年劣化によりバネが折れることがあります。
ハグキがやせて適合不良となることがあります。(修理により改善できます)
- 審美歯科
- インプラント
- 総合治療
- 入れ歯治療